How Automatic Dose Control is advancing patient safety in CBCT for emergency surgeries
Probo Medical sets out the importance of Cone Beam CT, an innovative technique used in modern dental and maxillofacial imaging
Sponsored article by Probo Medical
At Probo Medical, we believe every imaging advancement should do two things: 1. Improve diagnostic outcomes and 2. Protect patients.
In emergency trauma, ENT departments and maxillofacial imaging are the first and most crucial step in diagnosis. With this comes pressure for the diagnosis to be completed at the highest speed and accuracy for the treatment plan to be effective.
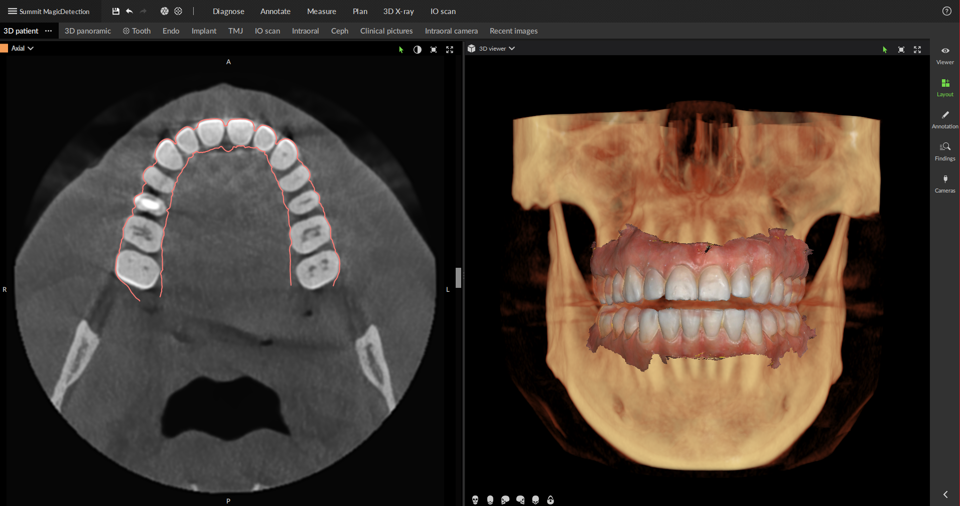
Cone Beam CT (CBCT) is a technique used in modern dental and maxillofacial imaging, providing high-resolution 3D datasets. With its increasing use, the need for effective dose management has never been greater. That’s why we’re proud to supply the DEXIS ORTHOPANTOMOGRAPH™ OP 3D™ LX with its latest breakthrough, Automatic Dose Control (ADC).
ADC automatically measures a patient’s anatomy during a quick scout image and adjusts the CBCT exposure for the optimal balance of image quality and safety. The result? The lowest radiation dose necessary for the clearest possible scan. Every time, for every patient. Personalised dosing is essential, especially for the purpose of patient safety and for those who face the highest risks. This can be highly assistive in emergency departments; for example:
- Paediatric facial fractures can be imaged at a significantly reduced dose without compromising detail.
- Complex fractures in dense adult bone are captured with enough definition to guide surgical intervention, but without unnecessary exposure.
- ENT pathology, such as sinus disease or middle ear evaluation, benefits from sharp contrast resolution with minimal artefacts.
This approach not only aligns with UK IR(ME)R requirements but also strengthens public trust in CBCT safety. It isn’t just complying with radiation safety guidelines, it’s about demonstrating to every patient that their safety is at the heart of your care.
Many emergency patients undergo several imaging sessions during their course of treatment. By optimising exposure for each scan, ADC helps minimise accumulative radiation doses, especially those in vulnerable groups. The system’s shorter scan times allow patients who are post-operative or in pain to remain in the scanner for less time, improving comfort and cooperation.
A common question we get is: will the dose reduction reduce the image quality? No, the systems technology delivers consistent high-quality images from the very first scan, reducing the chances of having to re-image. And you don’t just hear it from us…
As one customer described, it is “like we’ve suddenly put on glasses when looking at scans”. Dr Stiles is an oral and maxillofacial surgeon and treats a variety of needs, from simple molar extractions to complex surgeries and everything in between. “We take anywhere between three and eight 3D scans a day using our OP 3D LX,” Dr Stiles estimates. “We rarely take panoramic X-rays, and mostly use our OP 3D LX for large field of view images.
“You can see the cases where we took the 3D scan before Automatic Dose Control – how the images are a bit blurry and inconsistent. As soon as we started doing scouts, every single 3D image came out crystal clear.”
Moreover, the Dexis OP 3D LX can also provide unstitched, single-pass CBCT imaging, elevating the efficiency and image quality in emergency surgical care. Unlike traditional systems that require multiple captures and stitching, the OP 3D LX can image the entire maxillofacial complex (up to a 15 × 20 cm field of view) in one seamless scan, minimising radiation exposure, cutting scan time and eliminating the risk of misalignment or data loss from stitching errors.
So, overall, what are the key benefits of ADC?
- Lowest necessary dose for every patient and every scan.
- Automated dose optimisation.
- Meets the UK radiation safety standards.
- Consistent, high-quality images.
- Reduced rescans, lowering the exposure risk.
- Enhanced patient trust through demonstrable safety measures.
Sponsored article by Probo Medical
At Probo Medical, we believe every imaging advancement should do two things: 1. Improve diagnostic outcomes and 2. Protect patients.
In emergency trauma, ENT departments and maxillofacial imaging are the first and most crucial step in diagnosis. With this comes pressure for the diagnosis to be completed at the highest speed and accuracy for the treatment plan to be effective.
Cone Beam CT (CBCT) is a technique used in modern dental and maxillofacial imaging, providing high-resolution 3D datasets. With its increasing use, the need for effective dose management has never been greater. That’s why we’re proud to supply the DEXIS ORTHOPANTOMOGRAPH™ OP 3D™ LX with its latest breakthrough, Automatic Dose Control (ADC).
ADC automatically measures a patient’s anatomy during a quick scout image and adjusts the CBCT exposure for the optimal balance of image quality and safety. The result? The lowest radiation dose necessary for the clearest possible scan. Every time, for every patient. Personalised dosing is essential, especially for the purpose of patient safety and for those who face the highest risks. This can be highly assistive in emergency departments; for example:
- Paediatric facial fractures can be imaged at a significantly reduced dose without compromising detail.
- Complex fractures in dense adult bone are captured with enough definition to guide surgical intervention, but without unnecessary exposure.
- ENT pathology, such as sinus disease or middle ear evaluation, benefits from sharp contrast resolution with minimal artefacts.
This approach not only aligns with UK IR(ME)R requirements but also strengthens public trust in CBCT safety. It isn’t just complying with radiation safety guidelines, it’s about demonstrating to every patient that their safety is at the heart of your care.
Many emergency patients undergo several imaging sessions during their course of treatment. By optimising exposure for each scan, ADC helps minimise accumulative radiation doses, especially those in vulnerable groups. The system’s shorter scan times allow patients who are post-operative or in pain to remain in the scanner for less time, improving comfort and cooperation.
A common question we get is: will the dose reduction reduce the image quality? No, the systems technology delivers consistent high-quality images from the very first scan, reducing the chances of having to re-image. And you don’t just hear it from us…
As one customer described, it is “like we’ve suddenly put on glasses when looking at scans”. Dr Stiles is an oral and maxillofacial surgeon and treats a variety of needs, from simple molar extractions to complex surgeries and everything in between. “We take anywhere between three and eight 3D scans a day using our OP 3D LX,” Dr Stiles estimates. “We rarely take panoramic X-rays, and mostly use our OP 3D LX for large field of view images.
“You can see the cases where we took the 3D scan before Automatic Dose Control – how the images are a bit blurry and inconsistent. As soon as we started doing scouts, every single 3D image came out crystal clear.”
Moreover, the Dexis OP 3D LX can also provide unstitched, single-pass CBCT imaging, elevating the efficiency and image quality in emergency surgical care. Unlike traditional systems that require multiple captures and stitching, the OP 3D LX can image the entire maxillofacial complex (up to a 15 × 20 cm field of view) in one seamless scan, minimising radiation exposure, cutting scan time and eliminating the risk of misalignment or data loss from stitching errors.
So, overall, what are the key benefits of ADC?
- Lowest necessary dose for every patient and every scan.
- Automated dose optimisation.
- Meets the UK radiation safety standards.
- Consistent, high-quality images.
- Reduced rescans, lowering the exposure risk.
- Enhanced patient trust through demonstrable safety measures.
About Probo Medical
Probo Medical is a leading UK supplier of diagnostic imaging equipment, service and support. Partnering with global manufacturers, Probo delivers affordable technology that improves patient outcomes while maintaining the highest safety standards. It is the exclusive UK distributor for the DEXIS ORTHOPANTOMOGRAPH™ OP 3D™ LX with Automatic Dose Control.
Probo Medical provides UK-wide training, technical support and service for practices adopting the OP 3D LX with ADC. This ensures radiographers can integrate the technology smoothly into their workflow and uphold the highest standards of imaging safety. To schedule a demonstration of the product or to learn more, visit the website: www.probomedical.co.uk or give us a call on 0333 004 7657.
Read more


