New MRI e-learning safety training: identifying medically implanted devices using plain film radiographs
An innovative new e-learning programme is designed to raise awareness of different medical implants for radiographers, writes Hannah Barnsley
MRI safety screening is an essential step in the MRI process to ensure patients have no medically implanted devices or foreign bodies in situ. Procedures should be in place to screen patients who are unable to complete a safety questionnaire, but what happens if an ambulatory patient omits relevant information during the MRI screening process?
The Medicines and Healthcare Products Regulatory Agency recommends screening patients for MRI using a written questionnaire followed by a verbal review1. This two-step process was developed to elicit a patient’s memory and engage them in the screening process. However, it also allows MRI staff to gauge whether patients understand what is being asked of them and how reliable their answers are2. Despite this, unknown or unexpected implants are still being introduced to the MRI environment2, suggesting these methods alone might not always be enough.
In 2018, one in 25 people in the UK had at least one medical implant, ranging from knee replacements to cardiac pacemakers, highlighting how common medically implanted devices are within the general population3. However, patients can lack an awareness of the importance of MRI screening and can struggle to recall precise details of implants or complete surgical histories2. Information could be omitted by mistake. Patients may not understand medical terminology or they may not remember what procedures they have had, especially if they have a complex medical history. Medical conditions such as memory loss or dementia can also affect recall. Conversely, omitting information could be on purpose, with patients thinking they may be refused a scan if they revealed an implanted device, or fearing judgement2. Whether on purpose or not, missing information leaves radiographers making safety-critical decisions based on potentially incomplete information.
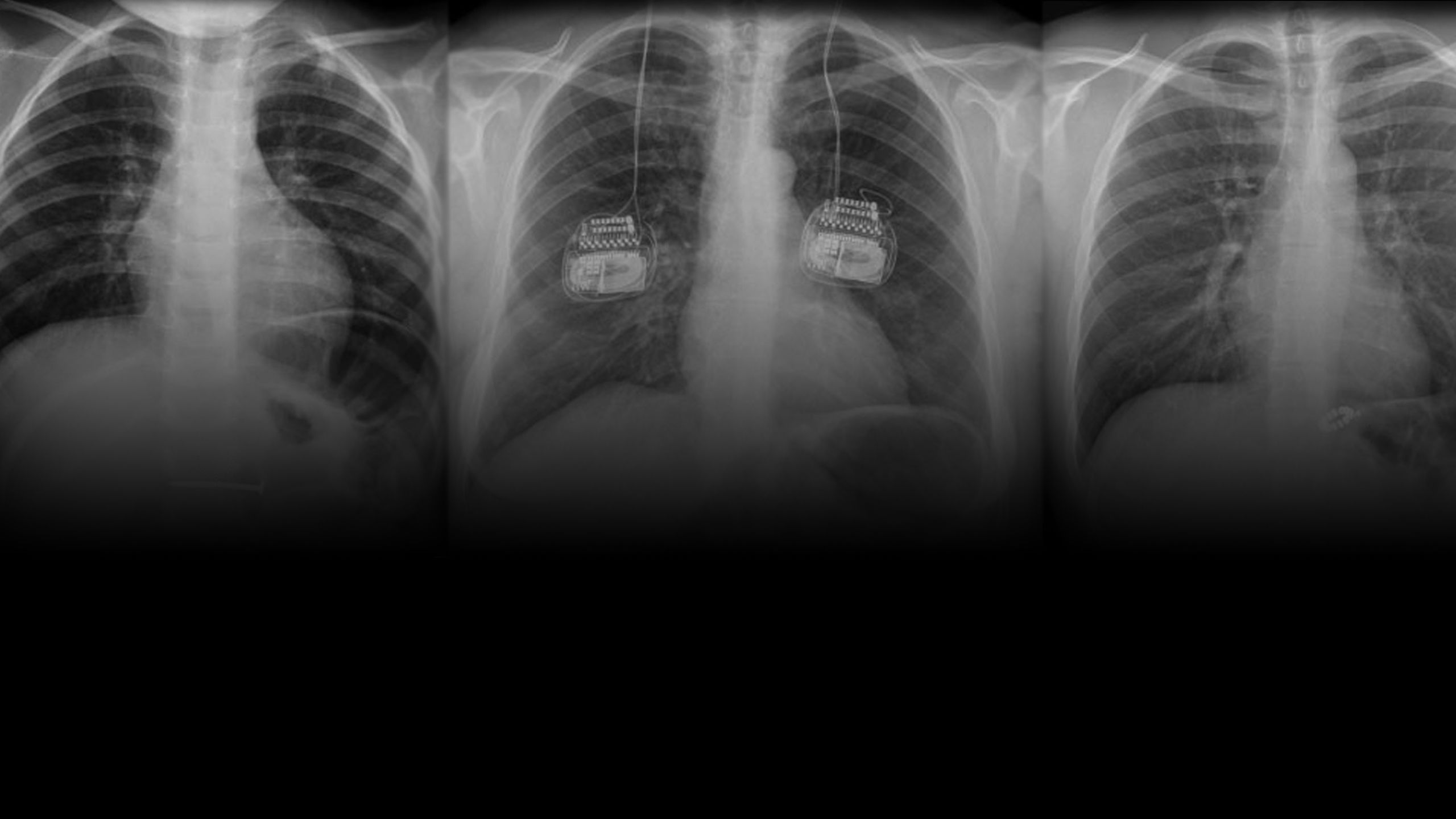
Currently, additional screening methods are recommended in specific situations. Physical examinations are mentioned for screening patients who cannot answer a safety questionnaire (eg, unconscious/unresponsive patients)1. However, they are becoming less sensitive as technological evolutions make implants harder to externally locate. For example, where traditional pacemaker implantation leaves a scar, new ‘leadless’ pacemakers are implanted endovascularly, leaving no scar, which limits the effectiveness of physical examinations. Using medical records is also an option1. However, this can be time consuming, especially if searching for something non-specific, and is only effective if they are current and up to date. Ferromagnetic detection systems are gradually being introduced internationally but device manufacturers are increasingly using non-ferrous components to ensure an MRI conditional status – again, limiting their effectiveness4.
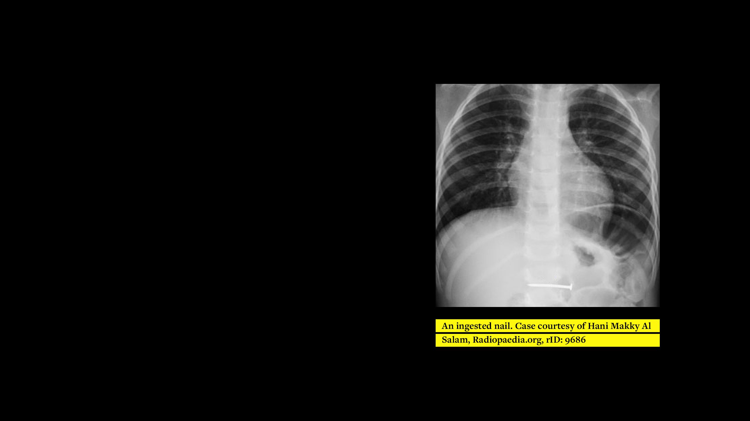
Plain film radiographs have been suggested for unconscious/unresponsive patients1 but the routine use of imaging for MRI screening is limited to localising metallic intra-ocular foreign bodies. However, if medical images are available, should they be routinely used for MRI screening for all patients to ensure the completeness of an MRI screening questionnaire?
This e-learning programme was created as a result of the author’s work in a neuroradiology department. The patient cohort had routinely experienced strokes, brain trauma and brain surgery, had memory loss conditions or conditions that affected cognition, or were intubated. This often left them unable to accurately complete the screening requirements; therefore, enhanced methods of MRI screening were routinely required to ensure their safety. As the use of pre-existing imaging became part of our screening process, it was noted that medical implants were being found that had been omitted from the questionnaires of ambulatory patients. However, even though we were detecting more implants using pre-existing imaging, it was not always possible to accurately identify the implant seen.
This e-learning programme is designed to raise awareness of different medical devices and to allow better utilisation of X-rays to confidently find and name them. While open to everyone, the training is specifically designed for Diagnostic and Therapeutic Radiographers for MRI safety screening. It is meant to highlight implants that may be specific to certain specialities; for example, cardiac or neuro, and therefore difficult to identify in departments outside of those specialities. Additionally, implants may be commonly known, but not easily recognisable on imaging. It also hopes to appeal to radiographers with different levels of experience and knowledge.
The training describes the appearance and most common locations of each implant and tries to explain various ways of differentiating between implants where possible. The reason for implantation is also stated to further assist identification and allow correlations to be made with the patient’s given information and medical records.
The modules are not intended to provide any MRI safety advice, as each department will have its own policies and procedures in place. However, it is hoped that by highlighting the range and conspicuity of implants, existing imaging may be more commonly used for routine MRI safety5 screening, increasing the safety of patients in MRI.
The ‘chest’ module represents the first of four to focus on implanted medical devices. The next modules in the series (abdomen/pelvis, head/neck and extremities) are under development and are due to be released soon.
MRI safety screening is an essential step in the MRI process to ensure patients have no medically implanted devices or foreign bodies in situ. Procedures should be in place to screen patients who are unable to complete a safety questionnaire, but what happens if an ambulatory patient omits relevant information during the MRI screening process?
The Medicines and Healthcare Products Regulatory Agency recommends screening patients for MRI using a written questionnaire followed by a verbal review1. This two-step process was developed to elicit a patient’s memory and engage them in the screening process. However, it also allows MRI staff to gauge whether patients understand what is being asked of them and how reliable their answers are2. Despite this, unknown or unexpected implants are still being introduced to the MRI environment2, suggesting these methods alone might not always be enough.
In 2018, one in 25 people in the UK had at least one medical implant, ranging from knee replacements to cardiac pacemakers, highlighting how common medically implanted devices are within the general population3. However, patients can lack an awareness of the importance of MRI screening and can struggle to recall precise details of implants or complete surgical histories2. Information could be omitted by mistake. Patients may not understand medical terminology or they may not remember what procedures they have had, especially if they have a complex medical history. Medical conditions such as memory loss or dementia can also affect recall. Conversely, omitting information could be on purpose, with patients thinking they may be refused a scan if they revealed an implanted device, or fearing judgement2. Whether on purpose or not, missing information leaves radiographers making safety-critical decisions based on potentially incomplete information.
Currently, additional screening methods are recommended in specific situations. Physical examinations are mentioned for screening patients who cannot answer a safety questionnaire (eg, unconscious/unresponsive patients)1. However, they are becoming less sensitive as technological evolutions make implants harder to externally locate. For example, where traditional pacemaker implantation leaves a scar, new ‘leadless’ pacemakers are implanted endovascularly, leaving no scar, which limits the effectiveness of physical examinations. Using medical records is also an option1. However, this can be time consuming, especially if searching for something non-specific, and is only effective if they are current and up to date. Ferromagnetic detection systems are gradually being introduced internationally but device manufacturers are increasingly using non-ferrous components to ensure an MRI conditional status – again, limiting their effectiveness4.
Plain film radiographs have been suggested for unconscious/unresponsive patients1 but the routine use of imaging for MRI screening is limited to localising metallic intra-ocular foreign bodies. However, if medical images are available, should they be routinely used for MRI screening for all patients to ensure the completeness of an MRI screening questionnaire?
This e-learning programme was created as a result of the author’s work in a neuroradiology department. The patient cohort had routinely experienced strokes, brain trauma and brain surgery, had memory loss conditions or conditions that affected cognition, or were intubated. This often left them unable to accurately complete the screening requirements; therefore, enhanced methods of MRI screening were routinely required to ensure their safety. As the use of pre-existing imaging became part of our screening process, it was noted that medical implants were being found that had been omitted from the questionnaires of ambulatory patients. However, even though we were detecting more implants using pre-existing imaging, it was not always possible to accurately identify the implant seen.
This e-learning programme is designed to raise awareness of different medical devices and to allow better utilisation of X-rays to confidently find and name them. While open to everyone, the training is specifically designed for Diagnostic and Therapeutic Radiographers for MRI safety screening. It is meant to highlight implants that may be specific to certain specialities; for example, cardiac or neuro, and therefore difficult to identify in departments outside of those specialities. Additionally, implants may be commonly known, but not easily recognisable on imaging. It also hopes to appeal to radiographers with different levels of experience and knowledge.
The training describes the appearance and most common locations of each implant and tries to explain various ways of differentiating between implants where possible. The reason for implantation is also stated to further assist identification and allow correlations to be made with the patient’s given information and medical records.
The modules are not intended to provide any MRI safety advice, as each department will have its own policies and procedures in place. However, it is hoped that by highlighting the range and conspicuity of implants, existing imaging may be more commonly used for routine MRI safety5 screening, increasing the safety of patients in MRI.
The ‘chest’ module represents the first of four to focus on implanted medical devices. The next modules in the series (abdomen/pelvis, head/neck and extremities) are under development and are due to be released soon.
References
- Medicines and Healthcare Products Regulatory Agency (MHRA). Safety Guidelines for Magnetic Resonance Equipment in Clinical Use. 2021. Available at: https://assets.publishing.service.gov.uk/government/uploads/system/uploads/attachment_data/file/958486/MRI_guidance_2021-4-03c.pdf [Accessed: 1 December 2023]
- D. Hudson, et al. A 3-year review of MRI safety incidents within a UK independent sector provider of diagnostic services. BJR Open. 2019;1(1). DOI: 10.1259/bjro.20180006
- Coyle, F. The Regulation and Governance of Medical Devices in Scotland. The Scottish Parliament. 2018. Available at: https://digitalpublications.parliament.scot/ResearchBriefings/Report/2018/6/29/The-Regulation-and-Governance-of-Medical-Devices-in-Scotland [Accessed: 2 December 2024]
- Yang E, Suzuki M, Nazarian S, Halperin H R. Magnetic resonance imaging safety in patients with cardiac implantable electronic devices. Trends Cardiovasc Med 2022;32(7):440-47. DOI: 10.1016/j.tcm.2021.08.001
- H. Barnsley. The use of pre-existing imaging for routine MRI safety screening. RADMagazine. 2025. https://www.radmagazine.com/scientific-article/the-use-of-pre-existing-imaging-forroutine-mri-safety-screening/
This e-learning course is part of a programme with more than 500 sessions within the Society and College of Radiographers e-learning programme, a collaboration between the College of Radiographers and NHS Technology Enhanced Learning.
Read more


